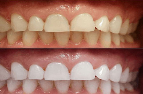
Tandblekning

För dig som vill få vitare tänder.

Tandblekning

Det finns många anledningar till att man väljer att göra en tandblekning. Våra tänder missfärgas och blir mörkare med tiden. Kaffe, te, lagningar, starka färgämnen i läsk och tobak. I vissa fall antar tänderna en mörkare nyans trots att man sköter om dem. På Norrvikentandakut klinik i Sollentuna erbjuder vi olika alternativ för tandblekning.

Bettskena

Trygg blekning av tänder

Tack vare nya material och tekniker kan vi idag återskapa tänders färg och form, och ge våra kunder möjlighet att få tillbaka självkänslan som ett vitare leende för med sig. Innan du gör en tandblekning är det viktigt att du genomgår en undersökning för bästa möjliga resultat; dina tänder ska vara friska och fria från både hål och beläggningar. Vid klinikblekning genomförs behandlingen av tandhygienist, med hjälp av ljus som aktiverar gelen, för snabbt och effektivt resultat.

Tandblekning hemma eller hos tandläkaren?

Vi erbjuder flertalet produkter för bästa behandling och resultat. Det finns ett stort antal olika metoder och tekniker för professionell tandblekning. Lite enkelt kan man dela upp dessa i ”stolsblekning” och ”professionell hemmablekning”.

Bettskena

Innan tandblekning

Hela och rena tänder ger ett bättre resultat av en tandblekning. Ett tandläkarbesök eller besök hos en tandhygienist för kontroll och rengöring inför en blekning av tänderna är därför mycket viktigt. Stolsblekning utförs på en klinik där behandlaren sköter det praktiska ungefär som vid ett vanligt tandläkarbesök. Hemmablekningen utförs i hemmet, dag och/eller nattetid, under 1–2 veckor med blekskenor och gel som man får från kliniken.

Tandblekning hos tandläkare

BrilliantSmile är den ledande metoden för effektiv och säker tandblekning, och ger vitare tänder på endast en behandling. Patienter som genomgår en behandling med BrilliantSmile behöver normalt inte återkomma för upprepade behandlingar. Vid klinikblekning genomförs behandling på kliniken av legitimerad tandhygienist, med hjälp av ljus som aktiverar gelen, för snabbt och effektivt resultat.

Bleka tänderna hemma

BrilliantSmiles hemblekningsgel används för blekning av missfärgade tänder och är lämplig för minimal invasiv behandling med hjälp av individuellt framställda blekskenor. Dessa framställs lokalt av våra tandtekniker. BrilliantSmile-certifierad personal rekommenderar hur länge behandlingen ska pågå, vilket normalt är 1–2 timmar per dag i 7 dagar. Man kan även bleka på natten medan man sover. Hos oss får du hjälp att bleka tänderna på ett säkert sätt. Genom att vi bedömer dina tänder och mun före blekningen försäkrar du dig om att dina tänder är i gott skick och minskar risken för fläckar, skador på tandköttet och svåra ilningar. Om du har fyllningar ska de vara av god kvalitet och det får förstås inte finnas något hål i tänderna. Ditt tandkött ska vara friskt och beläggningar eller tandsten ska tas bort. Ifall du har många fyllningar eller annat som skulle kunna innebära risker, kan tandläkaren även behöva göra en inledande undersökning. Du får i så fall ett kostnadsförslag att ta ställning till. För att bleka tänderna måste du vara över 18 år och inte vara gravid eller amma, enligt Läkemedelsverkets regler.

Efter du blekt dina tänder

För att resultatet ska stå sig längre ska du vara noga med din munhygien även i fortsättningen. Den närmaste tiden efter behandlingen är det viktigt att du undviker tobak, kaffe, te, vin och annat som kan missfärga tänderna. Tänk också på att blekning av tänder kan leda till att tänderna kan bli extra känsliga för värme och kyla. Det går normalt över efter en tid.

Är det säkert att bleka tänderna?

Om du har hål eller andra sjukdomar i dina tänder, tandkött eller mun bör du vänta på tandblekning tills efter att detta har behandlats. Dessutom är inte alla tänder lika känsliga för blekning. Därför är det både säkert och smart att låta din tandläkare undersöka dina tänder innan du bleker dem.

Alternativ till tandblekning

Ytlig missfärgning kan ofta avlägsnas på annat (och enklare) sätt än med hjälp av tandblekningsmedel. Till exempel kan missfärgning från livsmedel (som kaffe, te, rött vin) ibland avlägsnas med professionell borstning och/eller tandpolering. Om missfärgningen beror på missfärgade fyllningar kan vi byta ut dem mot fina fyllningar. Enbart tandblekning har inte den önskade effekten på dessa typer av missfärgningar. Det är därför mycket viktigt att vi undersöker tänderna först, för att hitta orsaken till missfärgningen.

Så fungerar tandblekning från tandläkaren

Efter att vi har sett till att dina tänder kan blekas kommer tandblekningen att ske enligt följande:
Avtryck före tandblekning
Vi tar ett avtryck av dina tänder. Detta använder vi för att ta fram en individuellt anpassad form, en blekningsskena.
Dag- eller nattblekning
Hemblekning kan göras på två sätt. Antingen sover du med skenan på natten, eller så använder du skenan några timmar under dagen. Blekningsmedlet placeras i skenan, som sedan placeras över tänderna.
Resultat av blekning av tänder
Efter att tandblekningen är klar är det dags att njuta av resultatet. Det varierar hur lång tid det tar innan önskat resultat uppnås. De flesta kommer att vara nöjda med effekten efter 10-12 dagar. I andra kommer blekningen att gå lite snabbare (5-7 dagar), medan det för vissa kommer att bli nödvändigt att bleka tänderna över tid (upp till flera veckor) för att uppnå önskat resultat.

För att vi ska kunna erbjuda tandblekning måste följande kriterier vara uppfyllda:

  • Patienten ska vara minst 18 år eller det ska finnas särskilda medicinska skäl för blekningen
  • Tänderna får inte vara märkbart skadade av syra eller borste
  • Det får inte finnas några hål i tänderna
  • Patienten får inte ha tandköttsinflammation
  • Bettskena

    Kan man bleka tänderna flera gånger?

    Om du vill bleka tänderna igen när effekten avtar kan blekningen fräschas upp. Till detta kan du använda den blekningsskena du redan har. Du kan köpa nytt blekmedel hos oss.

    Är tandblekning farligt?

    Blekningsmedlet som köps av tandläkare är det starkaste som är lagligt att sälja i Sverige, men det är fortfarande helt ofarligt. Om du har otur att svälja något av blekmedlet behöver du inte bli orolig.

    Inför behandling - Kontraindikationer/Försiktighet

    Kontraindikationer för tandblekning är allergi mot ingående komponenter i blekmedlet, tex plast och väteperoxid, blottlagda rotytor, ilande tandhalsar, förtunnad emalj och tandborstskador, eftersom tandens känslighet då ökar. Även graviditet samt amning där forskning inom området saknas. Har man epelepsi ska man inte heller genomgå behandling p.g.a. ljuset från tandblekningsmaskinen som kan trigga igång sjukdomen. Du ska inte ha någon synlig tandsten innan du gör en klinikblekning då tandsten inte går att bleka. Du skall ha besökt tandläkare minst 6 månader innan behandling för eventuell undersökning av tänderna.

    Hur bleks tänderna?

    Ljuset i sig bleker inte tänderna utan syftet med det är att påskynda blekningsprocessen genom att aktivera tandblekningsgelen. Det som bleker bort missfärgningarna i tandens emalj är redox reaktionen som uppstår när väteperoxiden blandas med gelen som den kommer i samband med. Reaktionen uppspjälkar då långa färgande molekyler till mindre färglösa som sedan bryts ned till koldioxid och vatten. Väteperoxid frigör då fria radikaler som binder sig med organiska molekyler för att sedan bryta ned dem och därför får man ljusare tänder.

    Vilka resultat kan jag förvänta mig?

    Resultatet är individuellt och beror på typen och graden av missfärgning men även kundens egna förutsättningar och utgångspunkt. Exempelvis ju starkare tänder man har desto svårare är de att bleka. Vi rekommenderar dock att man kommer in för en touch up efter ca 3-4 månader i syfte med att dels bygga upp ett ljusare resultat, dels förlängning av tandblekningsresultatet. Missfärgningar från metaller som amalgamfyllningar eller om tänderna har fått skada är näst intill omöjliga att bleka. Sådana tänder är oftast mörkare eller gulare än övriga tänder. Man kan generellt få mellan 2-7 nyanser vitare tänder och vi utgår från Vitapan Classic’s nyansnivåer.

    Kan man bleka kronor/komposit/fyllning?

    Det går inte att bleka själva kronan/kompositen men om tänderna runtomkring är mörkare än fyllningen så går det bra att göra tandblekning i syfte med att få tänder runtom kronan att bli ljusare så att färgskillnaden minskar.

    Vilka missfärgningar kan blekas?

    Det är lättare att bleka tänder som är missfärgade i varma färger som brunt och gult och de brukar lägga sig ytligt på tanden. Dessa missfärgningar orsakas oftast av starka färgämnen som finns i exempelvis kaffe och ålder. Kalla färger det vill säga grått och blått är oftast svåra att bleka och brukar lägga sig djupare i tanden. Det missfärgningar orsakas oftast av tandfyllningar och vissa mediciner såsom antibiotika och tetracykliner.

    Hur länge håller tandblekning?

    Tandblekningens hållbarhet påverkas av yttre faktorer, exempelvis om du fortsätter snusa eller dricka kaffe efter behandlingen. För att fortsätta att hålla tänderna vita bör du minska tillfällen de utsätts för exempelvis livsmedel som missfärgar dem. Självklart spelar också din munhygien in. Vi brukar dock generellt prata om att en tandblekning håller i cirka två år.

    Att tänka på innan och efter behandlingen;

    Viktigt att man har besökt en tandläkare de senaste 6 månaderna innan man bokar en tid för tandblekning. Detta är så att man kan rensa upp eventuell tandsten och laga potentiella hål för bäst möjliga tandhälsa. Detta hjälper även mot ilningar vid eventuell blekning. Direkt efter din tandblekning bör du inte äta eller dricka något annat än vatten i två timmar. Tänk också på att inte använda färgade tandvårdsprodukter, som exempelvis munskölj och klorhexidin. Detta eftersom det kan skapa missfärgningar på dina nyblekta tänder. Undvik färgstark dryck och mat, syra, socker, oljig mat och tobak efter tandblekning på ca 2-3 dygn.

    Övrigt

    Är man en frevent alkoholanvändare och/eller hög konsumtion av cigaretter påverkas då bl.a. hållbarheten genom att det förkortas. Välkommen till Norrvikentandakut klinik i Sollentuna.